罕见:到医院拍CT 9岁男童右肺 怎么“不见”了

温州网讯 9岁男童鹏鹏(化名)咳嗽20余天不见好,到医院一做CT,医生大吃一惊:孩子的右肺怎么“不见”了?温医大附二院儿童心胸外科的医生给孩子做了手术,找回孩子“消失”的右肺。昨天,记者从该院了解到,鹏鹏术后复查结果良好,身体已经恢复健康。
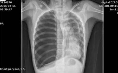
9岁的鹏鹏是瓯海人,前阵子,鹏鹏连续咳嗽,家人带他到温医大附二院就诊。医生给鹏鹏检查时发现他的气管明显往左偏,右肺听不到呼吸音。在X光片上,医生惊讶地发现鹏鹏居然“没有”右肺。医生又为鹏鹏进行了CT检查,同样没有发现右肺。
医生当时考虑鹏鹏是先天性的肺发育不良,但增强CT检查结果却出乎意料:孩子右侧三分之二胸腔被一个巨型的肺大疱所占据,右侧肺部被挤压在胸腔的一角。这就是做CT的时候,看不到鹏鹏右侧肺部的原因——巨型的肺大疱遮住了肺部。“鹏鹏得的是典型的‘消失肺综合征’。这种病十分罕见而且以往多见于青年男性,这一次竟然发生在一个9岁小男孩的身上!”温医大附二院儿童心胸外科副主任赵琦峰说。
看到检查结果后,医生对鹏鹏的病情进行全面的评估和分析,决定立刻对他进行手术治疗。在打开鹏鹏的胸腔后,一个巨型的肺大疱立刻膨出切口,这也证实了之前的检查结果。该院心胸外科主任胡型锑和赵琦峰将这个巨型肺大疱小心翼翼地剪开,此时的肺大疱就如同一个漏了气的气球,一下子瘪了。随后,主刀医师立即对肺大疱进行切除、结扎。经过数小时的努力,手术终于取得了圆满成功。术后,鹏鹏经过积极的呼吸功能锻炼后顺利康复出院。
医生告诉你
温医附二院心胸外科主任、主任医师
胡型锑
温医附二院儿童心胸外科副主任、副主任医师
赵琦峰
肺为什么会“消失”?
消失肺综合征又名特发性肺大疱综合征,一般始发于双侧或单侧肺尖部。患者多为年轻且身形消瘦的吸烟男性,无肺部或支气管源性疾病。临床症状以逐渐加重的疲乏和呼吸困难为主。所谓“消失”,是因为一侧或双侧的肺大疱逐渐增大,至少占据一侧胸腔的1/3以上,使得周围正常肺实质组织受压,并遮住一侧或双侧肺部,“躲”过CT的寻找,让人误以为肺部消失不见。
由于一侧或双侧肺部受肺大疱挤压,患者受挤压的肺部功能会逐渐消失,并影响另一侧的肺功能。患者会出现呼吸困难、缺氧等症状,或者在活动时出现气促的情况。消失肺综合征较为罕见,其病因及发病机制尚不明确,一旦确诊则不容忽视,应尽早进行外科手术治疗。
本文转自:温州新闻网 66wz.com
相关新闻
为你推荐
-

市委工作务虚会召开
要闻12-12
-

温州市第十四次妇女代表大会开幕
要闻12-12
-

11月份,温州CPI同比下降0.3%
经济12-12
-

温州理工学院附属三所学校正式揭牌
科教文体12-12
-

北麂山灯塔实行值守志愿服务满十年 守出“心灵的宁静”
社会12-12
-

吃的玩的赏的陆续开张 洞头东沙不夜港旅游业态再“扩圈”
社会12-12
-

全景沉浸式探索戏曲观演新样式 温越版《封神》邀你“入局”
科教文体12-12
-

永嘉农产品“出海”拓市场
经济12-12
-

十几岁孩子腰椎间盘突出 “腰不好”越来越年轻化
社会12-12
-

郑思维迎来国际赛场“最后一舞”
科教文体12-12


